Das Gebiss und der gesundheitliche Zustand der Zähne und des Zahnfleisches sind wichtig für die Lebensqualität ihrer Fellnase. Erkrankungen an den Zähnen und Zahnfleisch können den allgemeinen Gesundheitszustand beeinflussen, daher ist eine regelmäßige Kontrolle der Mundhöhle essenziell.
Frau Dr. Grimm ist Spezialistin in der Zahnheilkunde und bietet eine umfassende zahnmedizinische Versorgung auf höchstem Niveau an. Auch bei Zahn-Fehlstellungen kann Frau Dr. Grimm oft durch eine kieferorthopädische Behandlung eine Zahnextraktion vermeiden und den gesunden Zahn erhalten.
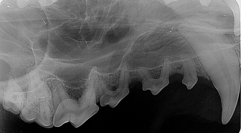
Wir bieten zu jeder professionellen Zahnreinigung und Zahnbehandlung das Dentalröntgen an. Unser Speicherfolienscanner Visiovet CR7 wurde speziell für die intraorale Röntgendiagnostik in der Veterinärmedizin entwickelt. Die digitale Bildgebung ermöglicht optimale Bildergebnisse für eine sichere Befundung und Folge dessen richtige Behandlung von Zahnerkrankungen bei Ihnen Vierbeinern. Der fein fokussierte Laserstrahl spielt eine entscheidende Rolle, wenn es um die höchste Auflösung geht. Feinste Läsionen, Parodontalerkrankungen oder Frakturen werden sichtbar, die Ergebnisse sind brillant und blitzschnell.
Frau Dr. Grimm wird sie gerne in einem Beratungsgespräch über die Möglichkeiten und auch Notwendigkeit der erforderlichen Zahnbehandlung bei Ihrem Tier informieren. Auch ältere und/oder Herz-Patienten werden bei uns mit einer optimalen Inhalationsnarkose versorgt und können somit auch im hohen Alter noch einer Zahnbehandlung unterzogen werden. Durch moderne Diagnostik und spezialisierte Behandlungstechniken kann Fr. Dr. Grimm für jedes Tier eine präzise, schonenede und nachhaltige Therapie anbieten.
